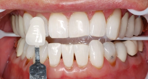
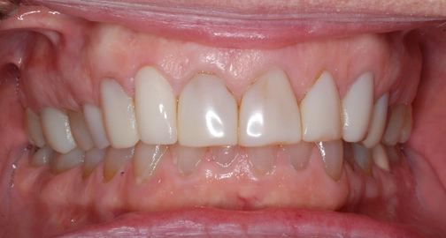
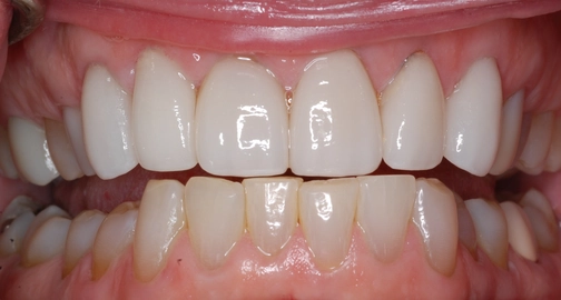
Interested to see the quality of work and detail Dr. Jared French gives our patients’ smiles? Check out our smile gallery to find out! We are proud to offer a variety of cosmetic and restorative services to craft a picture-perfect smile you can feel proud of. Call us today at 505-471-5353 to schedule a consultation with our dentist in Santa Fe, New Mexico, to see what we can do for you!









